Implantation immédiate d’un implant dentaire antérieur
En cas d’extraction d’une dent antérieure (incisive, canine)
Lorsque l’on doit extraire une dent visible, comme une incisive ou une canine, l’attente peut être une source de stress pour les patients. En effet, la procédure classique nécessite souvent de patienter plusieurs mois pour la cicatrisation osseuse avant de pouvoir poser l’implant, et encore quelques mois avant de recevoir la couronne définitive. Heureusement, la technique de l’implantation immédiate est une alternative qui permet de réduire ce long délai d’attente.
Cette procédure est idéale pour ceux qui souhaitent retrouver rapidement un sourire complet et fonctionnel. Immédiatement après avoir retiré la dent, le chirurgien-dentiste peut insérer l’implant. Pour assurer sa stabilité et son intégration, l’implant est généralement plus long et plus large que l’espace laissé par l’ancienne racine.
Dans les situations où l’os de la mâchoire est partiellement endommagé au niveau du site d’extraction, une reconstruction peut être réalisée simultanément. Le praticien prélève alors un petit fragment d’os, souvent à l’arrière de la mâchoire supérieure, pour le greffer devant l’implant.
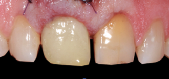
Une fois l’implant et la potentielle greffe en place, une couronne provisoire est posée dans la foulée. Cela permet non seulement de masquer l’absence de dent, mais aussi de préserver l’esthétique du sourire et de garantir le confort du patient. Cette approche simplifie le processus chirurgical en réduisant le nombre d’étapes et évite aux patients l’inconfort de porter une prothèse amovible durant la phase de guérison osseuse.

photo 1 : Pose de l’implant et dans le même temps, comblement osseux au contact de la face antérieure de l’implant

photo 2 : dans la même séance sera posée une dent provisoire